덧니,돌출입 교정

BaRunE Dental Clinic

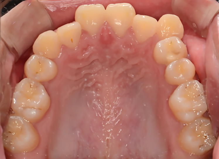
덧니,돌출입 교정

High Crowding

덧니 교정

심한 덧니를 해결하기 위해 작은어금니를 발치하여 공간을 확보한 후
치아를 재배열하는 교정치료입니다.
단순한 치열 배열을 넘어 턱과 입술의 자연스러운 조화까지 완성하여
만족스러운 결과를 제공합니다.

덧니교정

덧니의 원인

턱뼈에 비해 치아의 크기가 큰 경우

턱뼈에 비해
치아의 크기가 큰 경우

시간이 갈수록 현대인들의
턱뼈의 크기가 작아지고 있습니다.
이로 인해 치아가 배열될 공간이
부족하여 덧니가 생기는 경우가 많습니다.

유치가 너무 빨리 빠진 경우

유치가 너무
빨리 빠진 경우

영구치가 나오기 한참 전에 유치가
일찍 빠지게 되면 옆의 치아들이 빈 공간으로
쓰러져서 치아의 배열을 위한
공간이 부족해지고, 덧니가 되기 쉽습니다.

유치의 충치를 그대로 방치한 경우

유치의 충치를
그대로 방치한 경우

유치는 영구치가 나오기 전 각 치아들의
위치를 담당하고 있습니다.
심한 충치로 인해 비어버린 공간을 방치해 둘 경우 빈 공간으로 치아들이 쓰러져서 추후 영구치가 배열될 공간이 부족하게 될 수 있습니다.

덧니 교정의 방법

치아를 발치하는 방법과 턱뼈의 크기를 넓히는 방법은
덧니의 심각도와 연령(뼈의 나이)등에 따라 달라집니다.

01
확장 플레이트

확장 플레이트

02
급속구개확장장치(MARPE, RPE)

급속구개확장장치(MARPE, RPE)

03
미니 임플란트

미니 임플란트

04
치간 삭제

치간 삭제

Correction of Protruding Mouth

돌출입 교정

돌출입 교정
돌출입 교정

돌출된 입술과 앞니를 개선하기 위해 소구치를 발치하여 공간을 확보한 후
앞니를 안쪽으로 후퇴시켜 자연스러운 입술선과 아름다운 측모를 완성하였습니다.

  • 주증상

    총생, 입술돌출, 과개교합

  • 치료기간

    약 2.5년

  • 부작용

    치아표면의 탈회, 치은 부종, 치근흡수 등의 부작용이 있을 수 있습니다.

돌출입 자가진단 테스트

  • 코 끝부터 턱 끝까지 일자로 연결했을 때 직선상에 입술이 닿는 경우

  • 무의식중에 입을 살짝 벌리고 있는 경우

  • 사진을 찍으면 항상 입부분이 어색한 경우

  • 입술을 다물기 위해서 힘을 주어야 하는 경우

  • 입을 다물었을 때 턱 끝에 자글자글하게 주름이 잡히는 경우

  • 입을 다물었을 때 턱 끝에 자글자글하게 주름이 잡히는 경우

  • 턱이 짧거나 무턱이라는 느낌이 드는 경우

  • 입술이 두꺼운 경우

돌출입 유형

앞니 돌출

앞니 돌출

잇몸 뼈는 정상이나
앞니 치아가 튀어나온 경우

양악 돌출

양악 돌출

치아 각도는 정상이나
치아를 감싼 턱뼈가
앞으로 튀어나온 경우

무턱 돌출

무턱 돌출

치아가 튀어나오고
동시에 무턱으로
돌출감이 더욱 심해진 경우

돌출 + 잇몸 노출

돌출 + 잇몸 노출

위쪽 잇몸 뼈의 앞 방향, 아랫방향의
과성장으로 돌출입으로 보이고
웃을 때 잇몸이 과도하게 보이는 경우

돌출입 교정 치료 방법

발치 교정

위, 아래 작은 어금니 4개를 뽑고, 여유가 생긴 공간에
앞니를 이동시켜 발치 공간을 닫으면 앞니가 후방으로 이동해
입술의 돌출이 줄어들게 됩니다.

발치 교정
  • 일반적으로 작은 어금니를 발치하여
    공간을 확보한 후 치아를 후방으로 이동시킵니다.
  • 사랑니가 아직 남아있다면, 사랑니를 발치한 후
    아래 비발치교정 방법을 이용하여 치아 전체를
    이동시켜 공간을 확보하기도 합니다.

비발치 교정

돌출 상태가 비교적 경미한 경우 고려할 수 있는 방법입니다.
치열궁의 폭경을 확장시키거나 전체 치열을 뒤로 이동시켜서 덧니와 돌출을 해결합니다.

01
확장 플레이트

확장 플레이트

02
급속구개확장장치(MARPE, RPE)

급속구개확장장치(MARPE, RPE)

03
미니 임플란트

미니 임플란트

04
치간 삭제

치간 삭제

세상에 하나뿐인 소중한 당신을 위한
훌륭한 교정치료!

바른이치과교정과는 한 사람 한 사람을 소중히 여기며 교정치과의 ARETE(최고의 덕)를 실현하는 진료를 제공합니다.
환자에게 진심으로 관심을 갖고, 마음으로 공감하며, 최신 기술을 활용한 높은 표준의 맞춤 교정치료로 당신만의 미소를 완성해 드립니다.

01. Customized Treatment

맞춤형 교정치료를 통해 단순한 치아 배열을 넘어
삶의 질을 향상시키는 최고의 치료 결과를 추구합니다.
정밀한 진단과 개인별 맞춤 솔루션으로
아름다운 미소와 건강한 치아는 물론,
자신감 넘치는 일상을 선물합니다.
"치아에, 미소에, 마음에 딱 맞는 교정치료"
바른이에서 지금 시작하세요.

Customized Treatment

02. High Standard

바른이치과교정과는 '높은 표준의 안전한 교정치료' 를 통하여
장기적으로 안정성 있게 치료 결과를 유지합니다.
난이도 있는 어려운 치료일수록
더욱 빛나는 전문성으로,
복잡한 교정 케이스를 아름다운 얼굴의 모습과
고품질의 교합으로 완성합니다.

High Standard

03. Continuous Learning

바른이치과교정과는 함께 배우고 발전하는
집단지성을 통한 성장을 추구
합니다.
새로운 교정치료 기술을 동료들과 공유하고 나누는 과정에서
더욱 깊이 있는 학습과 새로운 아이디어가 탄생합니다.
모든 구성원이 선생님이자 학생이 되어
서로의 경험과 지식을 나누고,
기공팀과의 협력을 통해 통합적 사고를 만들어갑니다.

Continuous Learning
01

공지사항

  • 2026.01.22

    2월 진료일정 안내

  • 2025.12.28

    2026년 1월 진료일정 안내

  • 2025.12.08

    12월 진료일정 안내

02

학술활동

  • 2025.11.13

    2025년 KSDO 심포지엄 발표

  • 2023.11.08

    제 56회 대한치과교정학회 스태프세미나 강연

  • 2023.08.10

    2023년 호사교정연구회 창립 10주년 심포지엄 발표

03

온라인상담

  • 2026.01.14

    상담문의 신청합니다.

  • 2026.01.14

    상담문의 신청합니다.

  • 2026.01.03

    상담문의 신청합니다.

메뉴
바른이치과교정과치과의원

전화번호 064.746.7570

지도 상담 카카오톡 톡톡

TOP