BARUNE
당신의 치아에
당신의 미소에
당신의 마음에
교정치료를 선사하겠습니다
교정치료를 선사하겠습니다
BARUNE’S SPECIALITY
- 커스텀 처방 브라켓
- 바른 기공실
- 바른 치아관리
DENTAL CLINIC
BARUNE’S
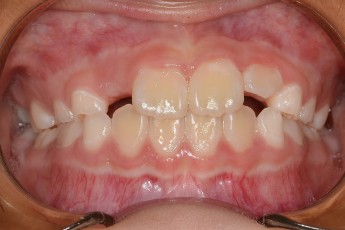
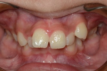
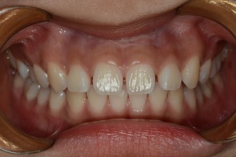
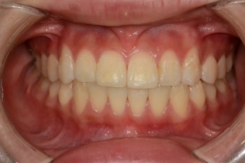
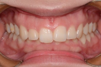
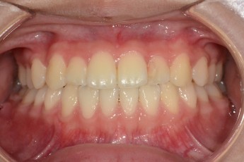
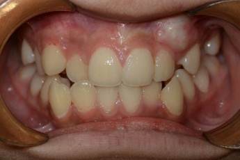
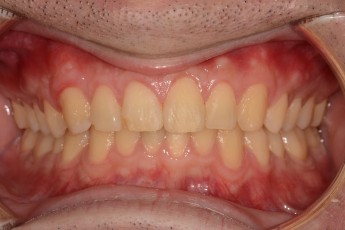
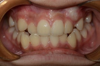
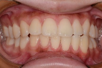
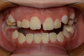
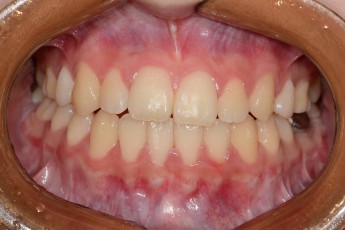
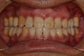
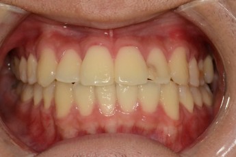
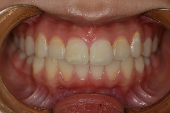
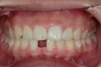
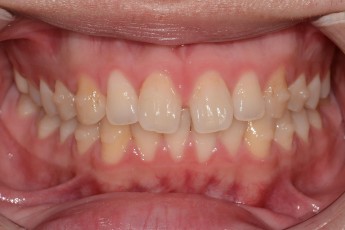
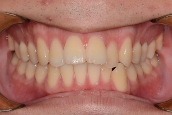
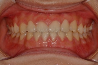
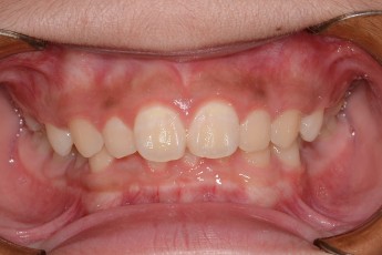
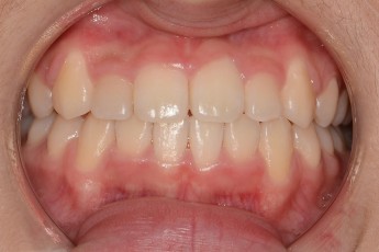
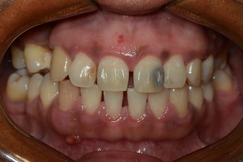
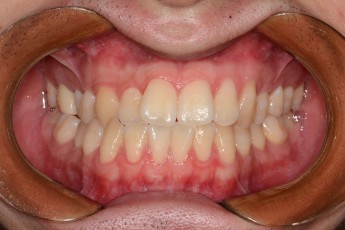
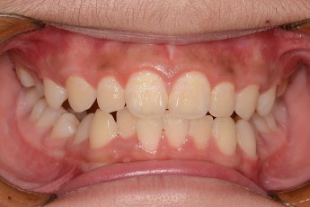
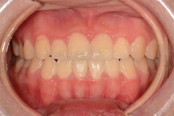
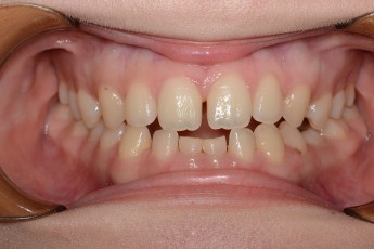
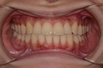
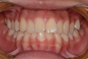
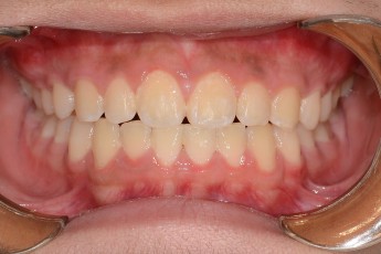
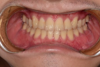
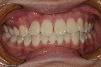
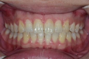
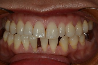
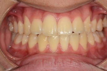
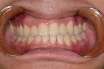
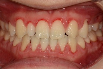
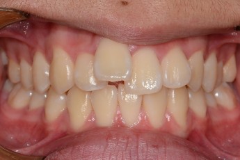
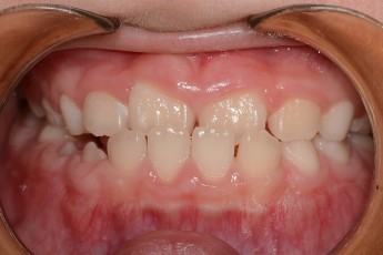
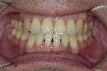
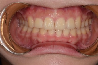
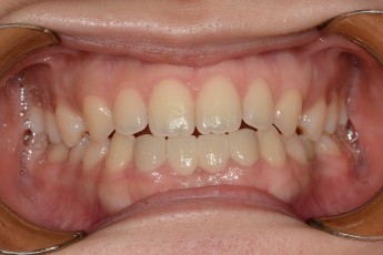
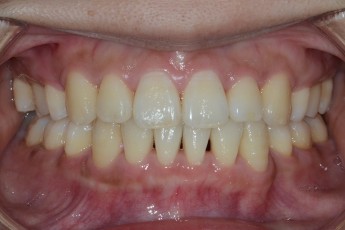
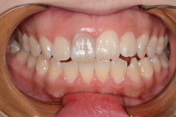
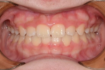
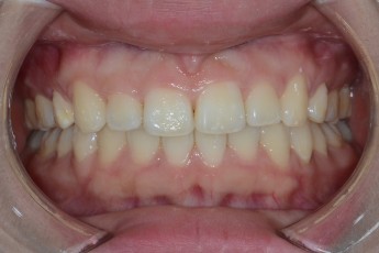
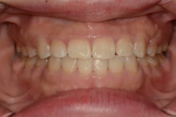
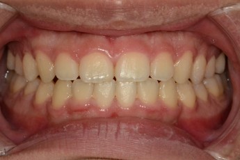
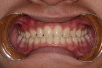
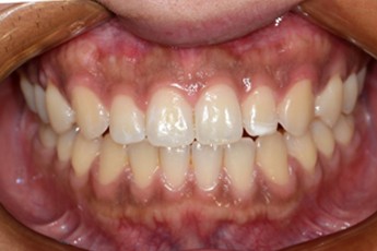
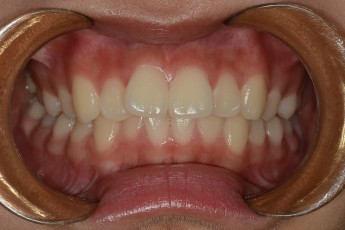
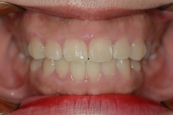
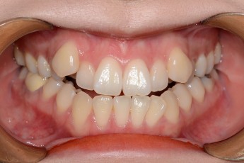
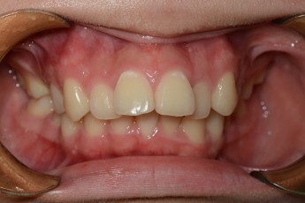
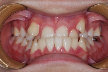
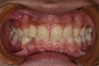
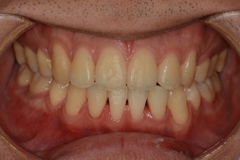
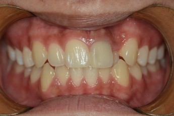
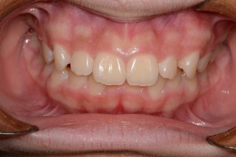
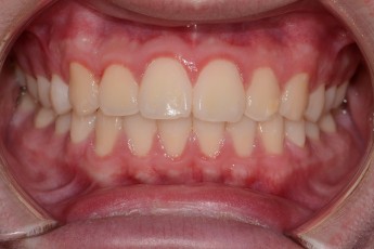
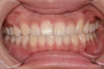
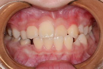
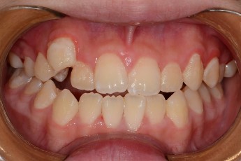
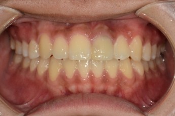
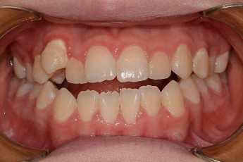
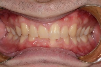
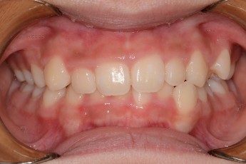
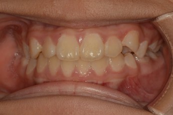
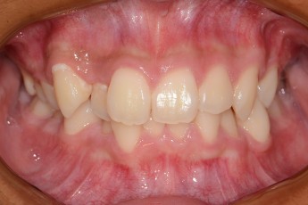
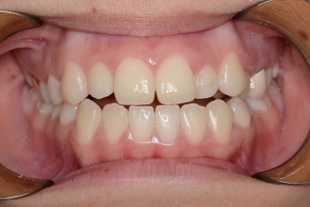
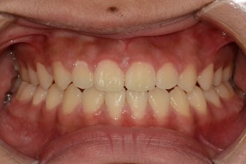
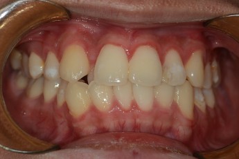
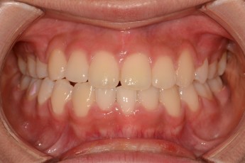
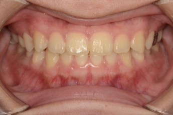
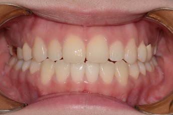
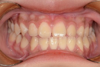
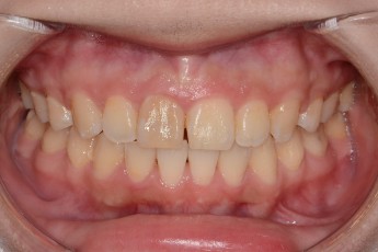
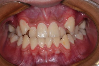
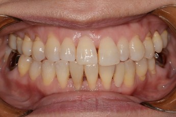
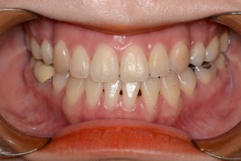
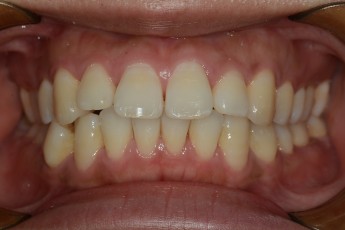
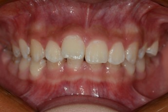
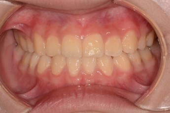
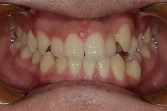
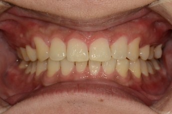
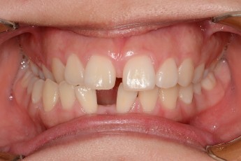
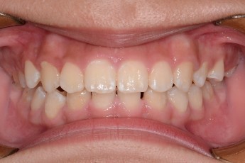
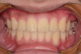
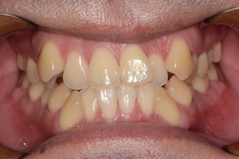
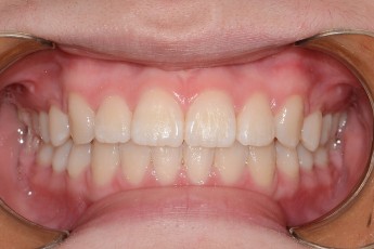
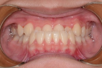
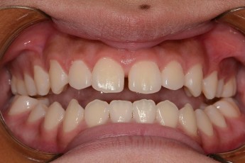
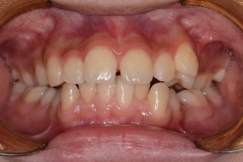
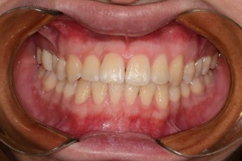
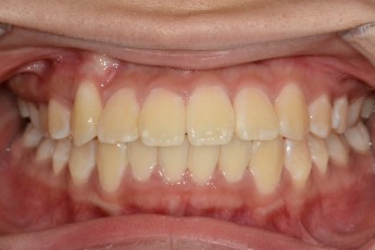
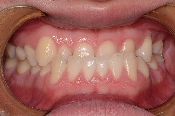
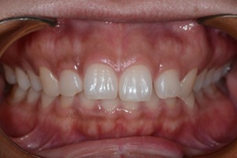
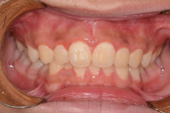
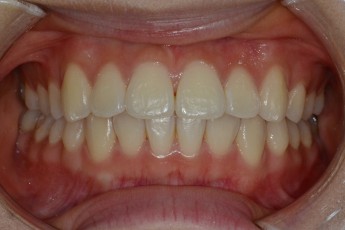
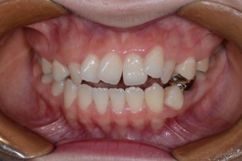
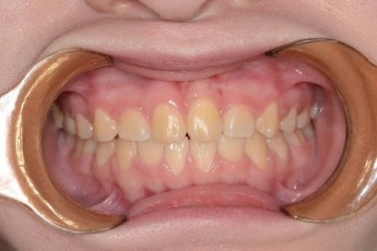
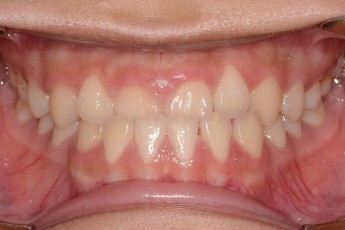
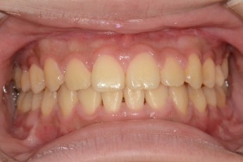
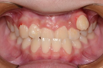
BEFORE & AFTER
BEFORE & AFTER
- 덧니교정
- 돌출입교정
- 성장교정
- 주걱턱교정
- 과개교합교정
- 개방교합교정
- 급속부분교정
- 반대교합교정
- 비대칭교정
- 무턱교정
- 재교정
- 매복치교정
BARUNE’S
REAL REVIEW
REAL REVIEW
바른이치과에서 치료받은 분들의
진짜 치료 후기를 확인해보세요!
진짜 치료 후기를 확인해보세요!

































