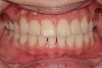
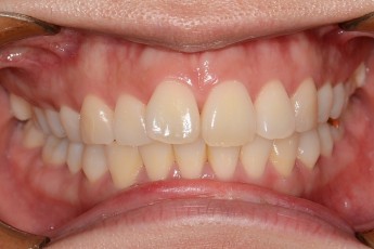
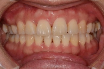
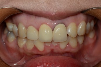
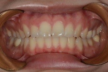
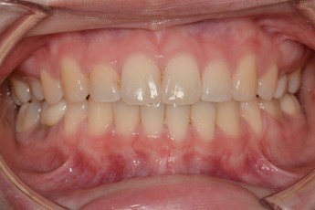
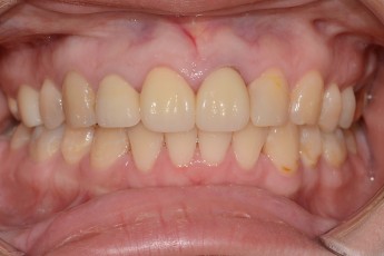
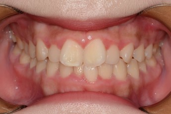
치료사례

BaRunE Dental Clinic

치료사례

⇄   Swipe

Total 72건 6 페이지
01

공지사항

  • 2026.01.22

    2월 진료일정 안내

  • 2025.12.28

    2026년 1월 진료일정 안내

  • 2025.12.08

    12월 진료일정 안내

02

학술활동

  • 2025.11.13

    2025년 KSDO 심포지엄 발표

  • 2023.11.08

    제 56회 대한치과교정학회 스태프세미나 강연

  • 2023.08.10

    2023년 호사교정연구회 창립 10주년 심포지엄 발표

03

온라인상담

  • 2026.01.14

    상담문의 신청합니다.

  • 2026.01.14

    상담문의 신청합니다.

  • 2026.01.03

    상담문의 신청합니다.

메뉴
바른이치과교정과치과의원

전화번호 064.746.7570

지도 상담 카카오톡 톡톡

TOP